Osteoarthritis of the knee joint (gonarthrosis)is a chronic progressive disease of the knee joints with damage, thinning and destruction of its cartilaginous part (articular surfaces of the femur and tibia), as well as damage to the subchondral bone.It has been shown by studies (arthroscopy and MRI) that in addition to damage to the articular cartilage, the menisci and synovial membrane are involved in the process.Gonarthrosis is one of the most common orthopedic pathologies.There are its synonyms: osteoarthritis (OA), deforming arthrosis.The disease represents an important socioeconomic problem, since it is very widespread and significantly worsens the quality of life of patients due to constant pain and, moreover, becomes the cause of high disability.

Until the mid-eighties of the last century there was no univocal definition of the disease.It was not until 1995 that the Committee on Osteoarthritis of the American College of Rheumatology characterized the disease as the result of mechanical and biological factors leading to an imbalance between the processes of degradation and synthesis of the extracellular matrix of articular cartilage.As a result, disintegration and degeneration of fibers occur, cracks form, osteosclerosis and compaction of the cortical layer of the subchondral bone, osteophytes grow, and subchondral cysts are formed.
Why does arthrosis of the knee joint occur?
Risk factors for osteoarthritis include:
- chronic trauma (violation of physical activity, excess weight);
- endocrine, inflammatory, metabolic and ischemic diseases;
- the presence of congenital or acquired disorders of the relationships, shape or structural organization of the joint extremities.
If you notice similar symptoms, see your doctor.Do not self-medicate: it is dangerous for your health!
Symptoms of arthrosis of the knee joints
Osteoarthritis of the knee joint is characterized by:
- gradual onset;
- mild pain in the joints during movements, especially when going up and down stairs;
- “stiffness”, stiffness and “initial pain” which occurs during the first steps and decreases or disappears if the patient “diverges”, resumes after significant physical activity.
- the appearance of the knee remains the same.Sometimes there is a slight swelling or accumulation of fluid in the joint.At the same time, the knee increases in volume, swells, flattens and you feel restrictions in movement and heaviness.
Painful sensations
As the disease progresses, the pain becomes more intense, appearing even with minimal effort and a long walk.Located along the anterior-internal surface of the joint.Prolonged rest usually helps the pain go away.
Limited mobility of the knee joint and characteristic crunch
With arthrosis, the range of joint movements may decrease, a creak may appear, and sharp pain appears when the leg is bent to the maximum.
Knee deformity
The configuration of the joint changes, as if it is expanding.
synovitis
Synovitis of the knee joint is an inflammation of the lining of the internal cavity of the joint.The disease manifests itself in the form of swelling of the knee, redness of the skin and limited mobility of the joint.As osteoarthritis develops, synovitis occurs more often, lasts longer, and involves a large amount of fluid.
The last stage of gonarthrosis is distinguished by the fact that the pain becomes almost constant, causing anxiety not only when walking, but also at rest and even at night, when patients have to look for a comfortable position for sleeping.Movement is more limited: it is difficult to bend and straighten the leg completely.The joint deforms and increases in volume.Valgus (X-shaped) or varus (O-shaped) deformities of the legs are often observed.The gait becomes unstable and sways.In more serious cases, a cane or crutches are required.

According to researchers, 76 percent of older adults who complain of knee pain have x-rays that show gonarthrosis.According to statistics, women are more often affected by the disease, which is associated with hormonal changes after 45 years.
Pathogenesis of arthrosis of the knee joints
There are primary and secondary arthrosis.
Primary arthrosis of the knee joint
- Articular cartilage is constantly destroyed and renewed;normally, these processes are balanced.With age, the renewal of cartilage slows down and destruction begins to prevail, a phenomenon called the process of degradation or degeneration.The weight of a person plays an important role, since with a mass of 70 kg in 20 steps we carry 700 kg on each leg (70 kg x 10 steps), and with a mass of 120 kg we already carry 1200 kg on each leg.Therefore, weak cartilage wears out much faster;
- it is necessary to remember: the joint receives nutrients and restores itself as it moves;A sedentary lifestyle reduces metabolic processes and the necessary elements do not reach the cartilage;
- There is controversial evidence about the hereditary role in the onset of the disease.If parents had osteoarthritis, the likelihood of it occurring in children increases;
- occurs due to autoimmune synovial inflammation.
Secondary arthrosis of the knee joint
- injuries (fractures, ruptures of the meniscal and anterior cruciate ligaments).Unfortunately, in any person, regardless of age, these injuries lead to excessive stress on the cartilage.A fracture of any part of the bones covered with cartilage is accompanied by the formation of an irregularity - a "step".In this area, during displacement, abrasion occurs and arthrosis is formed;
- rheumatoid arthritis, Koenig's disease (osteochondritis dissecans), consequences of purulent inflammation of the joint (gonitis), etc.;
- regional vascular disorders;
- Chronic exudative-proliferative and cicatricial adhesive processes in the joint.

With arthrosis (osteoarthrosis), in addition to the progressive destruction of cartilage, the loss of its elasticity and shock-absorbing properties, bones are gradually involved in the process.Under load, sharp edges (exostoses) appear, which are mistakenly considered "salt deposits" - in classic arthrosis no salt deposits occur.As osteoarthritis progresses, it continues to “eat” the cartilage.Then the bone is deformed, cysts form there, all structures of the joint are affected and the leg bends.
In addition to the inside or outside part of the knee, osteoarthritis can also affect the surfaces between the kneecap and the intercondylar groove of the femur.This option is calledpatellofemoral arthrosis.
Its cause is usually a subluxation, fracture or lateralization of the patella.

Classification and stages of development of arthrosis of the knee joints
Regardless of the cause, there are three stages of gonarthrosis, or deforming arthrosis of the knee joint.
Gonarthrosis, stage I
The first stage of the disease is characterized by primary changes in the hyaline cartilage.Bone structures are not affected.The blood supply in the intraosseous vessels and capillaries is interrupted.The surface of the cartilage becomes dry and loses its smoothness.If the disease is accompanied by constant tense synovitis, a Baker's cyst (hernial protrusion of the joint capsule of the popliteal region) develops.After significant stress on the joint, dull pain occurs.You may experience slight swelling that goes away after rest.There is no deformation.
Gonarthrosis, stage II
In the second phase, the cartilaginous layer becomes significantly thinner and in some places is completely absent.Osteophytes appear along the edges of the joint surfaces.The qualitative and quantitative characteristics of the synovial fluid of the joint change: it becomes denser, more viscous, which leads to a deterioration of its nutritional and lubricating properties.The pain is more prolonged and intense and a crunching sound is often heard during movement.There is mild to moderate limitation of movement and slight deformation of the joint.Taking analgesics helps relieve pain.
Gonarthrosis, stage III
Lack of cartilage in most affected areas, severe sclerosis (hardening) of the bone, many osteophytes, and a strong narrowing or absence of the joint space.The pain is almost constant, the gait is impaired.Mobility is severely limited and joint deformation is evident.NSAIDs, physiotherapy and other standard methods for treating knee osteoarthritis are ineffective.
Types of gonarthrosis
Depending on the number of joints affected, a distinction is made between unilateral and bilateral gonarthrosis.
Complications of arthrosis of the knee joints
The most common complication of stages II and III is tendovaginitis of the adductor muscle group of the thigh.This is manifested by pain along the inner surface of the joint, which intensifies with movement.The cause is muscle imbalance and deformation.With a long-term decrease in range of motion, contracture develops.In addition, synovitis often occurs.
Consequences of advanced gonarthrosis
Gonarthrosis affects the entire musculoskeletal system, disrupting the biomechanics of the spine and other large joints of the lower extremities.This can lead to herniated discs and arthritis of other joints.The second knee joint is overloaded (if the disease is one-sided), as the patient spares the painful leg, transferring the weight to the other healthy one.
Diagnosis of arthrosis of the knee joints
Instrumental diagnosis of arthrosis of the knee joint
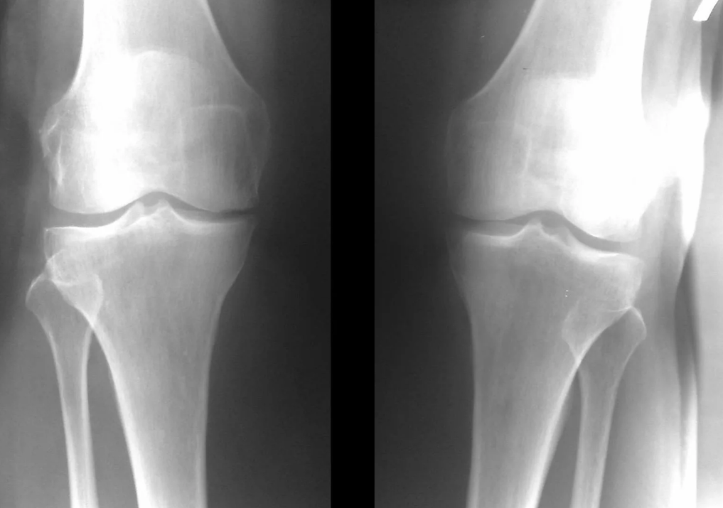
In the vast majority of cases, an examination and an x-ray of the knee joint in two projections (direct and lateral) are sufficient.Clinical data and images help determine the stage of the disease.

In the initial stages of the disease, with minor changes in bone tissue, x-ray examination is not so valuable.At this stage gonarthrosis can be diagnosed by arthroscopy.The precision of the method is very high;only its invasive nature and price can stop it.
Ultrasound does not allow clear visualization of changes in articular cartilage and intra-articular structures.Using MRI, changes in the bone, cartilaginous and soft tissue structures of the joint, as well as in the subchondral bone, can be detected with an accuracy of 85%.Scintigraphy can be used to evaluate the metabolic activity of periarticular bone tissue.
Laboratory diagnosis of arthrosis of the knee joint
An increase in the content of phosphorus and calcium in dehydrated synovial fluid is evidence of the destruction of the osteochondral tissue of the joint and the accumulation of degradation products.The blood is also examined: general analysis and erythrocyte sedimentation rate (ESR);determine the level of fibrinogen, urea and other biochemical parameters of blood and urine.
Is it possible to completely cure deforming arthrosis of the knee joint?
Gonarthrosis can be completely cured only in the initial stage of the disease.
Which doctor treats deforming arthrosis of the knee joint?
A traumatologist-orthopedist or rheumatologist makes a diagnosis and prescribes treatment.
Treatment of arthrosis of the knee joints
Conservative — anti-inflammatory drugs, painkillers, muscle relaxants, vascular drugs, chondroprotectors, compresses, kinesiotaping, physiotherapy, physiotherapy, orthoses.
Minimally invasive- paraarticular blocks (Novocaine + drugs relieve pain and inflammation), injection of artificial lubricant into the joint itself, plasma lifting.
Surgical — arthroscopy (a low-traumatic method for the treatment of intra-articular pathologies and the removal of damaged structures), endoprosthesis.
Drug treatment (drugs for the treatment of arthrosis of the knee joint)
Conservative methods are most effective in the initial stage of the disease.They help reduce pain and temporarily slow the destruction of cartilage.More effective methods are needed in phase II.The introduction of hyaluronic acid preparations into the joint cavity is used to reduce friction and trauma to the cartilage.There is no clear evidence for restoring cartilage, but it is useful for lubricating surfaces.“PRP therapy” (plasmolifting) is the injection of platelet-rich plasma into the knee joint, obtained from the patient's blood by centrifugation.It nourishes the cartilage and promotes its recovery, since the autoplasma platelets contain numerous growth factors and cytokines that promote the regeneration of damaged tissues.
Surgical treatment and endoprosthesis
Endoprosthesis replacement is a common and effective surgical method for treating severe gonarthrosis, which allows you to maintain limb mobility and the ability to subsequently lead a full life.This is a high-tech operation that lasts about an hour and a half.In the postoperative period, rehabilitation and long-term joint development are necessary.After 25-30 years, when the artificial joint wears out, it needs to be replaced again.

Physiotherapy and kinesitherapy
Physiotherapy and kinesitherapy methods for the treatment of arthrosis of the knee joint are ineffective.
Diet therapy
Dieting is only necessary to maintain a normal weight;there are no restrictions on the consumption of certain foods for gonarthrosis.
Does the block help with gonarthrosis?
For arthrosis of the knee joint, a paraarticular block is used - an injection of the drug into the soft tissues around the joint.During the procedure, the area of inflammation and painful points near the joint are determined, the skin is treated with alcohol, and hydrocortisone with an anesthetic is injected into this area.
Therapeutic exercises for osteoarthritis
Therapeutic exercises are useful both for patients suffering from gonarthrosis and for the prevention of this disease.Effective exercises:
- full flexion and extension of the leg, lying on the back;
- Raise your straight leg while lying on your back.
Forecast.Prevention
You need to understand that if arthrosis begins to develop, it must be treated immediately.If you are at risk of this disease it is possible to delay its onset, which is why we recommend:
- reduce stress on the knee joint;
- swimming: water relieves stress;
- massage the muscles of the lower leg and thigh yourself;
- avoid hypothermia and overwork;
- maintain normal weight;
- quit smoking and alcohol;
- women wear comfortable shoes with low heels;
- do physical therapy
Before starting therapeutic exercises, you should definitely consult with your doctor.The exercises are performed at a slow pace.If pain or discomfort is felt during gymnastics, the exercises should be stopped.
It is necessary to use only effective drugs.Rubs, compresses and other folk methods are ineffective;they do not act on the cause of the disease, but only help to distract from the pain.Avoid injuries and overloads: jumping, carrying heavy objects, standing for a long time or sitting in an uncomfortable position.This accelerates the progression of the disease.
It is also necessary to promptly diagnose and treat rheumatoid arthritis, gout and systemic diseases.
What factors influence the long-term prognosis of knee osteoarthritis?
The prognosis depends on the stage at which the patient turned to the doctor and on the correct therapy.The earlier you start proper treatment, the better your chances of avoiding surgery.























